
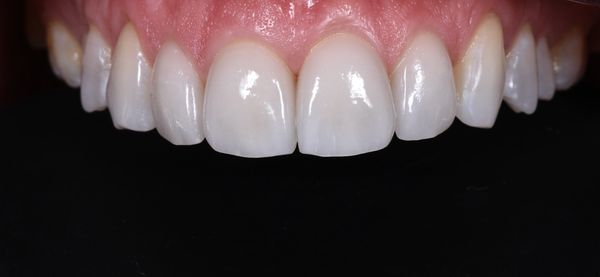
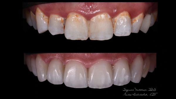
50 Shades Dental Studio fulfills the dental desire and necessity in one. Gorgeous and high integrity dentistry for a fraction of the cost by Mike Archibald and his team.
Mike Archibald is the master ceramist and founder of 50 Shades Dental Studio and has been specializing in dental cosmetics and complex rehab cases for the past 33 years. His talent is unparalleled, and now he offers the "bread and butter" and cosmetic ceramic dental restorations at a fraction of the cost. No compromises - only the highest service and quality.
Mike still is available for fully customized and complex cases done by himself personally, and a discussion with the doctor personally is required at onset.
For fully customizable work, please visit www.mikearchibald.com

We provide the most attractive dentistry for a reduced price, with semi-customizable options for stress free appointments.
Disilicate (EMax, LiSi, Amber) Monolithic and Zirconia Monolithic:
crowns and bridges,
veneers,
cosmetic no-prep veneers,
inlays and onlays,
implant restorations,
custom implant abutments,
PMMA cosmetic temporaries,
pink tissue,
digital models and mock-ups,
smile design

Mike has lectured nationally and internationally to both dentists and technicians on the art and science of cosmetic dentistry. He provides independent coaching to doctors, technicians, and dental laboratories who desire to elevate their craft.
Visit his coaching website to find out about upcoming courses.










Learn how to layer ceramics to mimic the complexities of the other central. Train at our dental laboratory to sharpening your skills in dental cosmetics.
Become fearless and the best at what you do by tackling your own greatest dentistry challenges. Individually customized.
People, process and knowledge - learn how to be efficient and financially successful while fueling your passion.
5152 North Edgewood Drive Suite 280, Provo, Utah 84604, United States
Mon | 08:00 am – 05:00 pm | |
Tue | 08:00 am – 05:00 pm | |
Wed | 08:00 am – 05:00 pm | |
Thu | 08:00 am – 05:00 pm | |
Fri | 08:00 am – 05:00 pm | |
Sat | By Appointment | |
Sun | Closed |
50 Shades Dental Studio
5152 North Edgewood Drive, Ste 280, Provo, Utah 84604, United States
Copyright © 2025 50 Shades Dental Studio - All Rights Reserved.